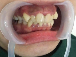
Cắt lợi làm dài thân răng và mài xương ổ cho KH Combodia – Giải pháp cho nụ cười cân đối, khỏe đẹp
Nụ cười không chỉ là “ngôn ngữ chung của hạnh phúc”, mà còn là yếu tố quyết định sự tự tin trong giao tiếp, học tập và công việc. Tuy nhiên, không ít khách hàng gặp tình trạng cười hở lợi, thân răng ngắn, viền lợi không đều hoặc xương ổ phát triển quá mức khiến gương mặt mất cân đối.
Đó cũng là lý do mà khách hàng từ Cambodia đã không ngần ngại vượt hàng trăm km sang Việt Nam, tìm đến Nha Khoa Ân Đức Luxury để được bác sĩ Tài trực tiếp thăm khám và thực hiện cắt lợi làm dài thân răng kết hợp mài xương ổ.
Khám răng sớm cho trẻ – Ngăn ngừa lệch khớp cắn, giúp răng phát triển đều
Không ít bậc phụ huynh nghĩ rằng răng sữa của trẻ rồi cũng sẽ thay, nên thường chưa chú trọng đến việc khám răng định kỳ cho con. Tuy nhiên, sự thật là những vấn đề nhỏ ở giai đoạn răng sữa nếu không được phát hiện và xử lý kịp thời có thể dẫn đến nhiều hậu quả lâu dài: răng mọc lệch, khớp cắn sai, hàm phát triển không cân đối.
Chính vì vậy, các chuyên gia nha khoa luôn khuyến nghị: Khám răng sớm cho trẻ là cách tốt nhất để đảm bảo sự phát triển đều đặn, khỏe mạnh và thẩm mỹ cho hàm răng sau này. Đây không chỉ là chăm sóc răng miệng, mà còn là cách đầu tư cho tương lai và sự tự tin của con.
Hoàn thành 2 trụ Implant cho khách hàng từ Indonesia – Niềm tin vượt biên giới
Ngày nay, làm đẹp và chăm sóc sức khỏe răng miệng không còn bị giới hạn trong phạm vi một quốc gia. Rất nhiều khách hàng quốc tế sẵn sàng bay hàng nghìn km để tìm đến một địa chỉ nha khoa uy tín, nơi họ có thể an tâm trao gửi nụ cười. Và Nha Khoa Ân Đức Luxury đã trở thành điểm đến quen thuộc của khách hàng từ nhiều quốc gia, trong đó có INDONESIA.
Vì sao khách hàng quốc tế tin chọn Ân Đức? – Trải nghiệm dịch vụ DDbio cao cấp
Ngày nay, nhu cầu làm đẹp và chăm sóc sức khỏe răng miệng không còn gói gọn trong phạm vi một quốc gia. Rất nhiều khách hàng quốc tế sẵn sàng di chuyển hàng nghìn km để tìm đến những địa chỉ uy tín, nơi họ có thể trao trọn niềm tin và nụ cười của mình. Và Nha Khoa Ân Đức chính là điểm đến như thế.
Trong nhiều năm qua, Ân Đức đã đồng hành cùng hàng trăm khách hàng đến từ Australia, Singapore, Cambodia, Indonesia, Dubai, Mỹ, châu Âu… Họ lựa chọn bay về Việt Nam, không chỉ vì chi phí hợp lý mà còn bởi uy tín, tay nghề bác sĩ và dịch vụ chuẩn quốc tế mà khó nơi nào sánh được.
THƯ CẢM ƠN KHÁCH HÀNG CHÚC MỪNG NHA KHOA ÂN ĐỨC KHAI TRƯƠNG HỒNG PHÁT
Lời đầu tiên, Thay mặt Nha Khoa ÂN ĐỨC Luxury xin gửi lời chào trân trọng và lời cảm ơn sâu sắc đến Quý vị đã dành thời gian quý báu đến tham dự và ủng hộ buổi lễ khai trương của chúng tôi vào 8h00 Sáng ngày 05/07/2025 vừa qua.
Khai Trương Nha Khoa Ân Đức Luxury – Ưu Đãi Lớn Đến 30% Tất Cả Dịch Vụ
Đây là dấu mốc quan trọng, đánh dấu sự ra đời của một địa chỉ chăm sóc và thẩm mỹ răng miệng uy tín, hiện đại và đẳng cấp ngay tại khu vực Đông Sài Gòn.
